UV-irradiation Biggest Environmental Factor in Aging Skin
UV-irradiation is considered the biggest environmental factor in the aging of skin. Besides damage to the skin itself, such as the breakdown of collagen, increased inflammation, and DNA damage, production of a large number of reactive oxygen species (ROS) can also cause inflammation in other organs as well, such as the liver, by regulating inflammatory factors in the blood. Therefore, finding ways to prevent or reduce UV irradiation damage to the skin has been an important focus of new research.
NMN Boosts NAD+ Levels and has Shown Strong Protective Effects Against UV Rays
Previous studies have shown that NMN supplementation has a protective effect against UV rays by restoring NAD+ levels and preventing damage to DNA, collagen, and aging of the skin. NMN supplementation increases NAD+ levels in UV-damaged skin cells to promote cell energy production and proliferation, providing a potential skin aging treatment.
NMN also Shows Antioxidant and Anti-inflammatory Properties
With it’s ability to boost NAD+, NMN has also shown to have antioxidant and anti-inflammatory properties. As evidence of this, cells that were indicative of inflammation, called mast cells, were reduced by half in previous studies. The results in the skin of mice treated with NMN were similar to that of mice with no UVB radiation exposure whatsoever.
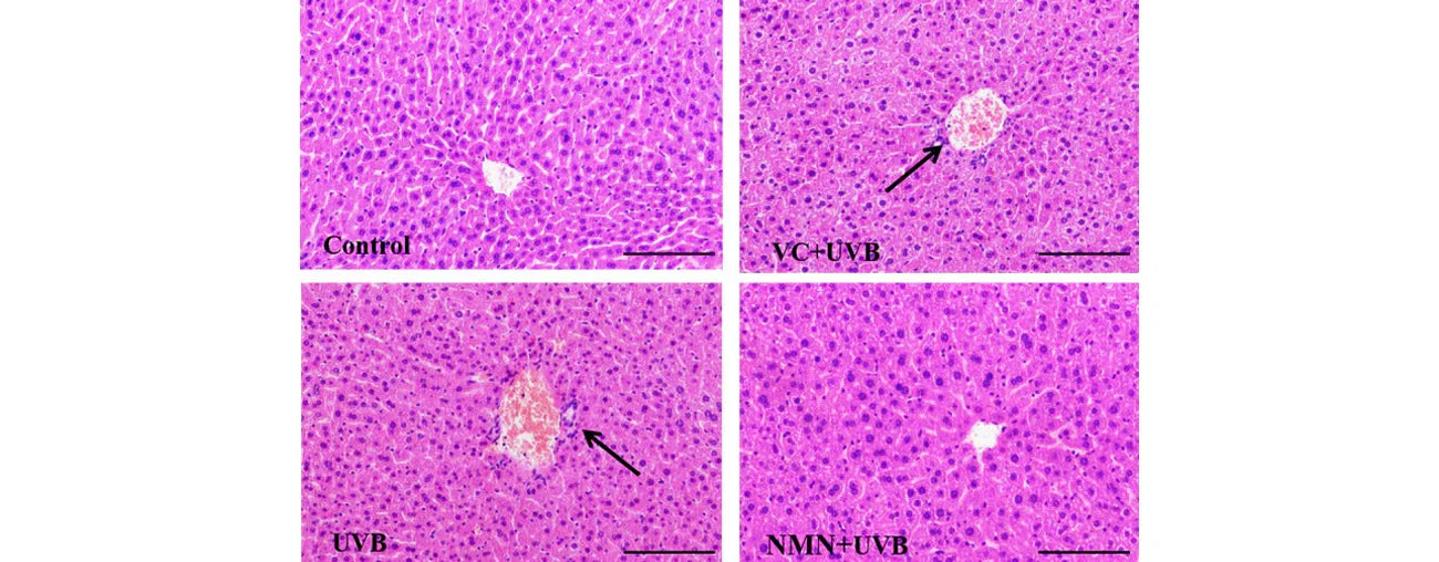
NMN Injections Provide a Wide Range of Protection from UV Damage
The new study shows that NMN injections go beyond this, providing protective effects from systemic inflammation and maintaining normal morphology of the mouse liver after UVB exposure.
“The liver structure of mice in the control group was normal. The arrangement of liver cells in the UVB group was more disordered than that in the control group.”
Photomicrograph of liver paraffin sections stain with (H&E). The black bars indicate 200 μm. The black arrows indicate necrotic cells.
The mice injected with NMN also had significantly reduced mast cells, thicker skin, and more collagen.
“The results showed that at a macro level, NMN maintained the normal structure of skin and liver, and regulate the levels of oxidation and inflammation indicators in serum and skin tissue. At a micro level, NMN reduces the inflammation damage and energy metabolism disorder caused by UVB”
NMN intraperitoneal injection was found to increase antioxidant ability and regulate the proinflammatory response of the skin and liver to UVB irradiation by enhancing the activity of antioxidant enzymes, release of anti-inflammatory cytokines, reduction of hydrogen peroxide production (H2O2), and decreased inflammatory cytokines.
Furthermore, RT-qPCR results indicated that NMN reduced oxidative stress of skin and liver.
In short, mice injected with NMN had an obvious, protective effect against systemic UV damage along several pathways, regulating expression and release of other oxidative and inflammatory indicators and reducing damage caused by UV-irradiation.
Conclusion
This study shows that NMN intraperitoneal injection protects against UVB exposure in mice.
It is also evidence of improved effectiveness of NAD+ precursors when delivered direct to the bloodstream versus oral delivery which are digested in the stomach.